Pierwsza rozpoznana na świecie egipska mumia ciężarnej kobiety znajduje się w Muzeum Narodowym w Warszawie. Długo sądzono, że pod zwojami bandaży kryje…
Czytaj więcej
Płód znajdujący się w zmumifikowanej Egipcjance sprzed ponad dwóch tysięcy lat przetrwał do naszych czasów za sprawą bardzo nietypowego procesu rozkładu.…
Czytaj więcej
O tym, że dzieci składane w ofierze przez Inków 500 lat temu na szczytach wulkanów były odurzane z pomocą liści koki i substancji halucynogennych świadczą…
Czytaj więcej
Duże ubytki w częściach kości twarzoczaszki mumii Egipcjanki żyjącej ponad 2 tys. lat temu mogą świadczyć o tym, że cierpiała na raka nosogardzieli…
Czytaj więcej
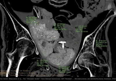
Nie płód, ale kilka zawiniątek znajduje się w miednicy mumii kobiety prezentowanej w Muzeum Narodowym w Warszawie - dowodzi zespół naukowców. W jednym… Czytaj więcej
Wystawę archeologiczną nt. współczesnych możliwości nieinwazyjnych badań mumii egipskich przygotowano w Muzeum Śląskim w Katowicach. Wystawa koncentruje… Czytaj więcej
Ciekawego odkrycia dokonali archeolodzy w Peru. Na terenie dawnej świątyni zwanej przez miejscowych „huaca”, oznaczającym wyrocznię lub święte miejsce,… Czytaj więcej
Zmumifikowane pochówki 22 osób, głównie małych dzieci i noworodków, odnalazł polsko-peruwiański zespół naukowców miejscowości Barranca w Peru - poinformował… Czytaj więcej